Что значит PR, ER, Ki67, HER-2 в определении экспрессии при раке молочной железы?

 

Рак молочной железы (РМЖ) – злокачественная опухоль железистой ткани молочной железы, является самой распространенной онкологической патологией у женщин.

РМЖ может быть обнаружен при помощи:

  1. Самообследование груди

  2. Планового осмотра у врача маммолога или гинеколога

  3. Маммографии

  4. УЗИ молочных желез

  5. МРТ груди

После обнаружения подозрительного образования в ткани груди, женщине назначают дообследования, которые в обязательно порядке включают биопсию — забор образца ткани из опухоли.

Симптомы рака молочной железы:

  • Уплотнение или опухоль в груди

  • Изменение формы или размера груди

  • Выделения из соска (особенно кровянистые)

  • Боль или дискомфорт в области груди

  • Покраснение, шелушение кожи груди или соска

  • Увеличение лимфоузлов в подмышечной области

Биопсия опухоли груди бывает нескольких видов: тонкоигольная, трепан-биопсия (толстоигольная) и эксцизионная, её проводят уже после удаления опухоли. Забранный материал отправляют на гистологическое исследование, которое и позволяет подтвердить или опровергнуть наличие рака.

Kleo
Обратилась к врачу из-за уплотнения в груди. Обследование выявило злокачественное образование на ранней стадии. Благодаря своевременной диагностике лечение начали быстро. Сейчас прохожу терапию и благодарна, что всё обнаружили вовремя...
читать отзывы ➙

Также гистологическое исследование не только подтверждает наличие рака, но и определяет степень дифференцировки опухоли по шкале G:

  • G1 — низкая степень: клетки опухоли почти не отличаются от нормальных, рак менее агрессивен.

  • G2 — средняя степень: клетки отличаются умеренно, рост опухоли быстрее.

  • G3 — высокая степень: клетки сильно изменены, опухоль агрессивна и быстро растет.

После подтверждения диагноза РМЖ с помощью гистологического исследования, проводится дополнительный анализ — иммуногистохимическое исследование (ИГХ).

ИГХ помогает определить, какие рецепторы и белки присутствуют в раковых клетках. Эти данные необходимы для выбора наиболее эффективного лечения, так как они показывают, будет ли опухоль реагировать на гормональную терапию, таргетные препараты или другие методы лечения.

  • ER – рецептор к эстрогену (РЭ)

  • PR – рецептор к прогестерону (РП)

  • HER-2 / neu (human epidermal growth factor receptor 2) - рецептор второго типа к человеческому эпидермальному фактору роста. Это белок, который находится на поверхности клеток и играет ключевую роль в регуляции клеточного роста и деления.

  • Ki67 – онкогенный белок, отражает скорость деления клеток и активность роста опухоли.

Лабораторные окрашивания гистологического препарата

ER / PR

Опухоли молочной железы часто являются гормонозависимыми опухолями.

ER показывает, чувствительна ли опухоль к эстрогену.

  • ER-положительная опухоль (ER+) — рост зависит от эстрогенов, лечится гормональной терапией (тамоксифен, ингибиторы ароматазы).

  • ER-отрицательная опухоль (ER-) — не чувствительна к эстрогену, требуется иное лечение.

PR gоказывает, влияет ли прогестерон на рост опухоли.

  • PR-положительная опухоль (PR+) — реагирует на гормональную терапию.

  • PR-отрицательная опухоль (PR-) — менее чувствительна к гормональному лечению.

ER+ и PR+ — благоприятный прогноз, хороший ответ на гормонотерапию.
ER- и PR- — опухоль менее чувствительна к гормональному лечению, требует агрессивных методов.

Для интерпретации результатов ИГХ рецепторного статуса гормонов опухоли молочной железы применяется шкала Allred, с помощью которой оценивается количество клеток, с рецепторами гормонов и интенсивность окрашивания при определении рецепторов. Результат выражается в баллах, которые варьируются от 0 до 8. Этот балл рассчитывается как сумма двух компонентов:

  1. Процентное содержание позитивных клеток: определяется доля клеток, в которых наблюдается окрашивание, что помогает установить, насколько большая часть опухоли экспрессирует рецепторы. Оценка от 0 до 5, где 0 означает отсутствие экспрессии, а 5 – 100% позитивных клеток.

  2. Интенсивность окрашивания: оценка степени, с которой ткани опухоли окрашиваются, отражает количество рецепторов в клетках. Более интенсивное окрашивание указывает на более высокую концентрацию рецепторов. Интенсивность может варьироваться от отсутствия окрашивания 0 баллов до сильного окрашивания 3 балла.

Итоговый балл, который является суммой этих двух оценок, помогает определить уровень экспрессии рецепторов и их роль в опухоли.

Например, ER 8 баллов и/или PR 8 баллов при раке молочной железы означает, что опухоль обладает высокой экспрессией рецепторов эстрогена и/или прогестерона, что делает её чувствительной к гормональной терапии, направленной на блокировку этих рецепторов.

Ki67

Если уровень Ki67 в опухоли высокий, это означает, что клетки активно делятся, и опухоль может расти быстрее. Если уровень низкий, опухоль растет медленнее.

Показывает, насколько быстро делятся опухолевые клетки.

  • Высокий Ki-67 (>20-30%) — опухоль быстрорастущая, требует агрессивного лечения (химиотерапия).

  • Низкий Ki-67 (<20%) — медленный рост, благоприятный прогноз.

Значения Ki67 помогают оценить агрессивность опухоли, прогноз заболевания и выбрать наиболее подходящую стратегию лечение:

Гистологически окрашенное предметное стекло, показывающий карциному МЖ

1. Ki67 ≤ 15% – низкая пролиферация:

  • Опухоль растет медленно

  • Прогноз более благоприятный.

  • Менее агрессивный рак, обычно чувствительный к гормонотерапии.

2. Ki67 от 16% до 30% – умеренная пролиферация:

  • Опухоль растет быстрее, чем при низком Ki-67.

  • Умеренная агрессивность.

  • Возможна комбинированная терапия.

3. Ki67 ≥ 30% – высокая пролиферация:

  • Опухоль быстро растет и делится.

  • Прогноз хуже, рак более агрессивный.

  • Требует более интенсивного лечения, в том числе химиотерапии.

HER2 / neu 

Гистологическое исследование

Белок, отвечающий за рост опухолевых клеток.

  • HER-2 положительный (HER-2+) — опухоль более агрессивная, быстрорастущая, но хорошо поддается терапии таргетными препаратами (герцептин, пертузумаб).

  • HER-2 отрицательный (HER-2-) — менее агрессивная форма, не требует анти-HER-2 терапии.

Интерпретация окраски на рецептор HER2 заключается в оценке уровня экспрессии белка HER2 на поверхности опухолевых клеток.

Результаты могут варьироваться от 0 до 3+:

  • 0 или 1+ – отрицательная экспрессия (HER2 негативен), что означает отсутствие или низкий уровень белка на клетках.

  • 2+ – неопределённая экспрессия, требует дополнительного исследования определение амплификации гена HER2 методом гибридизации in situ методом FISH для подтверждения статуса HER2.

  • 3+ – положительная экспрессия (HER2 положительный), свидетельствует о высоком уровне белка. Характеризуется усилением пролиферации клеток, уменьшением количества рецепторов эстрогенов в опухоли, снижением эффективности химио- и гормонотерапии, таким образом, служит маркером менее благоприятного прогноза, повышенного риска рецидива и требует назначения таргетной терапии.

Раковая опухоль

На основании расшиифровки ИГХ выделяют 4 подтипа рака молочной железы. Каждый подтип имеет свои особенности клинической картины, прогноз и тактику лечения.

Молекулярно-биологические подтипы рака молочной железы

Определение в опухоли молочной железы экспрессии РЭ, РП, HER2 и Кi 67 является обязательным при диагностике РМЖ. Данное исследование включено в алгоритм диагностики и лечения рака молочной железы.

По результатам ИГХ рак молочной железы делится на несколько подтипов, которые помогают определить прогноз заболевания и наилучшую тактику лечения, включая выбор между гормональной терапией, таргетной терапией, химиотерапией или их комбинацией.

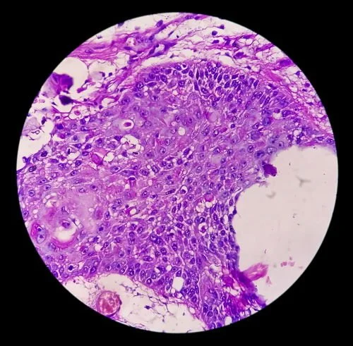
Карцинома молочной железы под микроскопом

  1. Гормональный (люминальный) рак, присутствуют рецепторы к гормонам (ER+ / PR+):

    Такие опухоли часто реагируют на гормональную терапию, такую как тамоксифен или ингибиторы ароматазы.

  2. HER-2-позитивный рак (HER-2+):

    HER-2 (human epidermal growth factor receptor 2) представляет собой белок, который ускоряет рост опухолевых клеток. Опухоли с высоким уровнем HER-2 обычно требуют таргетной терапии, например, трастузумаба (Herceptin).

  3. Гормональный HER-2-позитивный рак (ER+ / PR+ / HER-2+):

    Лечение обычно включает как гормональную терапию, так и таргетную терапию.

  4. Отсутствуют рецепторы и к гормонам и к HER-2 (ER- / PR- / HER-2-):

    Этот подтип часто называют трижды негативный рак молочной железы (ТНРМЖ) и он считается более агрессивной формой РМЖ. Лечение обычно включает химиотерапию и другие препараты, не направленные на гормональные рецепторы.

В заключении об исследовании должна содержаться информация не только о процентном содержании клеток, положительных по РЭ и РП, но и об интенсивности окрашивания.

Известно, что люминальные (гормональные) типы РМЖ имеют менее агрессивное течение и благоприятный прогноз по сравнению с HER-2 положительным и трижды негативным РМЖ. Особо обращает на себя внимание трижды негативный рак молочной железы (отрицательные РЭ, РП, HER2), который отличается агрессивным течением, ранним появлением метастазов и неблагоприятным прогнозом.

Показания к исследованию:

  • Подтверждение диагноза рака молочной железы.

  • Определение типа опухоли и ее гормональной чувствительности.

  • Оценка степени агрессивности опухоли.

  • Определение экспрессии PR, ER, Ki67, HER-2 при раке молочной железы используется для выбора тактики назначения адъювантной терапии.

    Адъювантная терапия – лекарственная терапия, которая назначается в дополнение к хирургическому и лучевому методам лечения и направлена на снижение риска рецидива болезни.

    План адъювантной лекарственной терапии основывается на принадлежности опухоли к одному из молекулярно-биологических подтипов и стадии заболевания.

  • Прогнозирование течения болезни и вероятности рецидива.

Отзывы об анализах на рак молочной железы:

Lera 💬 21.02.2026

Раньше откладывала обследования «на потом» — ничего не беспокоило, да и казалось, что это меня не касается. Но после того как у знакомой обнаружили рак груди на ранней стадии, всё-таки решила провериться. Прошла УЗИ и сдала анализы по рекомендации врача. Честно, волновалась, пока ждала результаты. К счастью, всё оказалось в норме, но сам факт обследования дал огромное спокойствие. Теперь понимаю, что такие проверки — это не про страх, а про заботу о себе и возможность вовремя заметить проблему.

Марина 💬 21.08.2025

Сдавала анализы по направлению маммолога, сначала была УЗИ, потом биопсия — очень волновалась, руки тряслись, когда получала результат. К счастью, диагноз оказался доброкачественным, но я впервые почувствовала, как важно не откладывать обследование. Сейчас слежу за собой регулярно, раз в год обязательно проверяюсь. Девочки, не бойтесь — страх пройдёт, а вот промедление может стоить очень дорого. Лучше знать точно и вовремя.

Геннадьевна Валя 💬 18.03.2025

В 30 лет мне диагностировали рак груди, когда моей дочке было всего три. Грудь пришлось удалить, но я прошла лечение и сейчас всё отлично. Я живу полноценной жизнью, моя дочь растёт, и я чувствую себя прекрасно. Похудев на 25 кг, мне пришлось обновить гардероб, включая протезы, бельё и купальники. Конечно, это недешево, но здоровье – самое главное!

Алла 💬 13.09.2024

Спасибо вам за такую подробную и главное понятую статью. Можно благодаря ей понять что написать в результатах биопсии, а то выдают на руки и иди думай что там у тебя за набор букв и цифр.! 😣

Yua 💬 04.08.2024

жуть!!!

Елена 💬 21.07.2024

Я лежала в онкологии вместе с женщинами у которых РМЖ. Операции переносятся легко, отходят быстро, ну какое то время походит с отсосом. Ничего страшного, все поддается лечению, при условии что ваша мама не запустит болезнь, не начнет ерепенится и отказываться от лечения. Вообще объясните ей, что рак - обычная болезнь, коей страдает полмира, а не смертельный приговор. Пугают людей этим раком, инфаркт гораздо страшнее. Побольше оптимизма, оптимисты быстрее выздоравливают. Поддержите ее, даже если дадут инвалидность, что в этом страшного? Без груди жить можно. Знаю что говорю, сама пережила рак.

Ангелина 💬 10.06.2024

У моей семьи тоже был опыт борьбы с раком молочной железы 😔 Я хочу поделиться своим советом о важности поддержки и настройки на позитивный результат в таких ситуациях. Когда приходит результат гистологии после операции, там указывается не только стадия рака, но и его разновидность, что помогает лучше понять характер заболевания. Я рекомендую изучить информацию о раке молочной железы, чтобы быть осведомленным о возможных подходах к лечению. Я также часто посещаю онкологические форумы и общаюсь с людьми, столкнувшимися с подобными проблемами. Важно помнить, что даже на ранней стадии рака важно учитывать его агрессивность и общее состояние пациента. У моей близкой родственницы рак был обнаружен на первой стадии без метастазов. Хотя ее здоровье было крепким, важно помнить, что борьба с болезнью может иметь свои особенности и требует комплексного подхода к лечению.

maria 💬 23.05.2024

Мне кажется, тут очень важна еще и работа с психологом. В самом начеле моя подруга предложила мне психолога. На первый момент я отмахнулась, типа, "нет, я же не слабак, я справлюсь сама". Но по мере того, как время шло, я осознавала, что уже не справляюсь в одиночку, нужна помощь профессионала. И вот я решаюсь, обращаюсь к той женщине, которую мне посоветовали. Полтора года работы с ней - разбираем страхи, рецидивы, страх перед смертью, все те вещи, которые вылезли на поверхность.

Эта же подруга потом подсказала фонд "Дальше". Там я нашла не только поддержку, но и онкопсихологов - индивидуальные и групповые сессии, и это действительно мне очень помогло.

Теперь я с уверенностью рекомендую всем, кто сталкивается с подобными трудностями, обратиться к психологу. После этого ты можешь спокойно вести свою жизнь, разговаривать, делиться опытом, помогать другим, не нанося при этом вреда своему внутреннему покою.

Лора 💬 19.04.2024

Девочки! не забывает проверяться раз в год!!! 🙏🙏🙏 это самый распространеный вид рака! Особенно если вы пьети КОКи! следите за своим здоровьем! <3

Damira 💬 07.03.2024

Проходила после гистологии. Анализ делался долго, я ждала где-то 10 дней. Какой-то подготовки не требовалось. По всем результатам врач уже подбирал тактику исследования. Я читала, что лечение будет зависеть от того, куда проходит экспрессия опухоли

жанна 💬 18.02.2024

Надо обязательно знать какой рак. Есть высокоагрессивный - это более неблагоприятный прогноз, а если гормонозависимый, то на ранних стадиях чаще всего возможно полное излечивание. Моей соседке только что сделали операцию. по РМЖ Перенесла очень хорошо. Говорит, что ей еще очень помогла поддержка.

Лидия 💬 02.01.2024

РМЖ и я планирую жить долго и счастливо 😌 На самом деле сегодня это наверное самый излечимый рак. Правда всё зависит ещё от типа РМЖ, он бывает разный. Поэтому жить можно, протезы ставят. Не то чтобы прямо совсем-совсем не заметно, но очень всё красиво. Заметно, когда ты без одежды, но тоже всё эстетически красиво. То есть, если люди не в курсе, то могут и не догадаться что к чему. Главное лечиться в правильном месте у хороших врачей 🙏

Lera 💬 16.12.2023

Свой диагноз я услышала летом 2014 года. Во время планового осмотра, врач сказал, что ему не нравится то, что он видит на экране во время проведения УЗИ. Меня на следующий же день отправили к онкологу, сделали проверки и озвучили диагноз. Я была настолько потрясена, что не смогла дослушать то, о чём говорил врач. Он записал меня на повторный приём и отправил домой.

После постановки диагноза я прошла множество диагностических мероприятий: биопсию, ПЭТ-КТ, повторное УЗИ, анализы крови, МРТ. Проходила я все процедуры словно в тумане, не понимая, что будет дальше, но врачи меня постоянно успокаивали. Говорили, что мои шансы высокие и я обязательно смогу побороть болезнь.

В итоге мне провели химиотерапию и операцию. Грудь удалили частично, но восстановить её прежнюю форму в России не смогли. За восстановлением груди поеду за рубеж. Признаться честно, физически было очень плохо во время химиотерапии, но выпадение волос не стало для меня причиной психологической травмы. Я восприняла этот факт, как способ сменить образ и начала носить платки. Иногда я ношу их даже сейчас, когда победила болезнь.

Мне очень помогло, что меня поддержали мои родственники и подруги. Женщинам, столкнувшись с это проблемой, хочу пожелать выдержки. Помните – ваша жизнь в ваших руках, а потому, не останавливайтесь и двигайтесь до конца. Находите лучшие клиники, лучших врачей-онкологов и вы обязательно сможете победить рак груди!

Kkkkk 💬 29.11.2023

При неопределенном HER2/neu-рецепторном статусе (результат иммуногистохимического исследования 2+) рекомендуется выполнение FISH- или CISH-исследования, которые позволят выявить гиперактивацию гена, кодирующего этот рецептор. При недоступности этих исследований допускается повторное иммуногистохимическое исследование, но на другом образце опухолевой ткани.

вероника 💬 05.10.2023

Скажите, пожалуйста, я нащупала небольшой шарик в груди сос тороны подмышки. Мне стоит сдать этот анализ?

VIVI.clinic 💬 05.10.2023

Вероника, здравствуйте!

Напишите нам в WhatsApp +74951513521 в любое время суток или позвоните в клинику по телефону с 8:30 до 22:00 и мы сможете подробнее разобраться в Вашей ситуации и порекомендовать дальнейшие действия.

милена 💬 25.09.2023

Я сама помню свой шок, когда мне рак поставили. Хотелось сбежать и забыть, только от себя не убежишь. Тут главное хороший онколог, потому что онкология сейчас лечиться и на второй и даже на третьей стадии люди долго и счастливо живут. Ну, я еще и к онкопсихологу ходила, он меня, конечно из таких депресняков вытащил, что считаю его вклад в мое выздоровление был равноценен химиотерапии.

Sonya 💬 12.08.2023

Основные субъективные признаки рака груди: Тянущие ощущения в молочной железе
Зуд при раке груди наблюдается при отечности кожи, появлении высыпаний на соске
Возможны признаки интоксикационного синдрома при раке груди: температура, тошнота

Эмма_К 💬 05.07.2023

У моей бабушки был рак мж 2 стадии, правда она делала все, что говорили. Сказали отрезать - отрезали, сказали химию - делала химию. Прошло уже больше 25 лет, все нормально 🙌 В крайнем случае у вас будет повод сделать силиконовую грудь своей мечты. А то и вовсе без операции обойдетесь 👍

зарина 💬 14.05.2023

У меня РМЖ и я планирую жить долго и счастливо. На самом деле сегодня это наверное самый излечимый рак. Правда всё зависит ещё от типа РМЖ, он бывает разный. Поэтому жить можно, протезы ставят. Не то чтобы прямо совсем-совсем не заметно, но очень всё красиво. Заметно, когда ты без одежды, но тоже всё эстетически красиво. То есть, если люди не в курсе, то могут и не догадаться что к чему. Главное лечиться в правильном месте у хороших врачей.

Polya 💬 27.03.2023

Если Вы решились на обследование - Вы большая молодец! Сначала рекомендую пойти на онлайн-консультацию (я так делала), Вам скажут куда, к кому, что сдать, что взять и тд... Очень удобно. А запускать и откладывать обследование точно не стоит.

tattia 💬 06.12.2022

Было подозрение на рак.. Сдавала анализы, ходила на УЗИ... Слава Богу ничего не подтвердилось, опухоль оказалась доброкачественной, но теперь проверяюсь раз в год , чтобы не допустить развития...

Оля 💬 04.08.2022

Девушкам, женщинам нужно сдавать этот анализ как можно чаще... Потому что гормоны дело такое, сегодня все ок- завтра нет. 😟 А болезнь коварная, ее нужно отслеживать и не допускать развития. Всем здоровья ❤️

zhanna_dd 💬 17.05.2022

Кто не разбирается - рецепторы к эстрогену (ER) и прогестерону (PR) являются веществами белковой природы, которые локализованы на поверхности опухолевой клетки. Под влиянием женских половых гормонов, рецепторы формируют комплекс, который стимулирует появление новых опухолевых клеток

Дарья 💬 23.11.2021

Существует несколько шкал оценки рецепторного статуса рака молочной железы, в лабораторном отчете должно быть указано, по какой именно проводилась оценка позитивности опухоли в данном исследовании, а также дана описательная характеристика количества позитивных клеток, особенностей окрашивания клеточных структур и морфологических особенностей клеток.